• Kyste sébacé • Semblable aux kystes épidermiques • Régions préthoraciques, axillaires, visage, dos, fesses • Contenu compact malodorant • Traitement chirurgical • Kyste dermoïde pilonidal • Derme profond • Près des fentes embryonnaires sourcils, cou, gouttière sacrée, périnée • Contenu épais, remaniementsMon bébé à un kyste Il a fait une échographie du cerveau à la naissance (7 jours de vie), une IRM à 1 mois et vu la neuropédiatre à 3 mois qui a confirmé qu'il va très bien et se développe comme n'importe quel bébé Nous la reverrons quand il aura 1 an et si le kyste n'a pas grossi, on ne la reverra plus car pas de risque Des masses cervicales chez l'enfant peuvent apparaître à tout âge Entre kyste et ganglions dans le cou, il est parfois difficile de faire la

Gard Atteint D Un Kyste Au Cerveau Inoperable Ismail 7 Ans Combat Pour La Vie Midilibre Fr
Kyste ovaire bébé échographie forum
Kyste ovaire bébé échographie forum-Bonjour Docteur, j'ai fait aujourd'hui ma deuxième échographie tout va bien sauf que mon bébé a deux kystes au cerveau Le médecin m'a dit de ne pas m'inquiéter car normalement ils Enfaite ma femme âgé de 27 ans est enceinte 16eme semaine et l'hors de notre dernier échographie le docteur nous a informé que le bébé dispose de deux kystes au niveau du cerveau malgré que ça croissance est normale et ces organes aussi ainsi que le test trisomie 21 est négatif Le docteur nous a conseillé de faire le test amniocentèse




Diagnostic Echographique En Urgence D Une Torsion De L Ovaire Chez L Enfant A Propos De Neuf Observations Sciencedirect
Vous devez toujours faire attention au suivi de vos kystes Bien que la plupart des kystes soient inoffensifs, il est préférable de faire examiner votre médecin tous les 6 mois Si les kystes sont accompagnés des plaintes mentionnées, il ne sera pas avantageux pour vous et votre bébé de ne pas être en retard pour postulerUn kyste du plexus choroïde est une découverte fortuite découverte au cours d'une échographie de routine du milieu de la grossesse Photo du kyste du plexus choroïde Un kyste du plexus choroïdien, par luimême, est une collection inoffensive de fluide qui peut parfois être vue dans la partie du plexus choroïde du cerveau Le kyste sousendométrique chez un nouveauné est la formation dans le cerveau d'un bébé qui a un développement pathologique Il y a plusieurs raisons pour l'apparition de la tumeur Tout d'abord, ce sont des problèmes de circulation sanguine et son manque dans les ventricules du cerveau
L'échographie 3D, qui peut être réalisée à partir de la 25e semaine d'aménorrhée, permet de voir la tête qu'aura son futur bébé mais n'est pas un examen obligatoire (on ne peut Kyste du foetus Fermé Je suis a mon 34 eme semaine de grossesse et j'accouche par cesarienne dans 23 jours Mon gyneco vient de m'annoncer qu'il y a une kyste remplie d'urine de la taille de 30*16 dans le rein droit de mon bebe (une fille) Parcontre il m'a dit que ses reins fonctionnent normalementKyste dans les reins du bébé pendant la grossesse Pendant la grossesse, le bébé peut être diagnostiqué dans l'utérus et À la suite de l'échographie,
Un kyste sébacé est une poche remplie de sébum localisée au niveau de la peau Un kyste sébacé infecté nécessite une prise en charge médicaleLe diagnostic postnatal est fait le plus souvent sur l'examen clinique de la ligne médiane, en particulier en région lombaire et sacrée il est fait en maternité et lors des examens cliniques du jeune enfant ;Marie, je m'inquiète depuis 3 jours, car à ma dernière échographie à 21 semaines, le radiologiste m'a dit qu'il avait vu 2 kystes au niveau du cerveau de mon bébé Je suis restée bouche bée et mon chum aussi mais rien de plus ne nous a été dit que "demander à votre médecin traitant pour la suite, ne vous inquiétez pas"




Kystes Et Fistules Congenitaux De L Enfant Sciencedirect




Rupture Spontanee D Un Kyste Du Choledoque Chez Une Enfant De 11 Mois Sciencedirect
Malgré tout, les anomalies sont souvent discrètes et peuvent n'être diagnostiquées qu'à l'âge adulte Grossesse & bébé / Echographie connaître le sexe de votre bébé bonne vitalité du fœtus mais 2 kystes du plexus choroides bilatéraux ont été constatés Ils mesurent à peine 6mm chacun De plus, le coeur n'a pas pu être bien « étudié » car bébé était mal positionnéEn échographie anténatale, les kystes des plexus choroïdes sont rencontrés au cours de 0,18 à 066 % des échographies entre 15 et 22 semaines d'aménorrhée D'après BENACERRAF Beryl, la prévalence des kystes des plexus choroïdes et de l'ordre de 1 à 2 % chez les fœtus euploïdes, au cours du 2ème trimestre de la grossesse avec une




Kyste Dermoide De La Partie De L œil Ophtalmologie




Les Tumeurs De La Voute Cranienne Neurochirurgie Pediatrique Lille
Une échographie peut être effectuée pour diverses raisons, mais observer un bébé dans l'utérus est la raison la plus fréquente Si vous avez récemment eu une échographie et que vous souhaitez savoir comment interpréter les images sur cette dernière, des connaissances fondamentales de l'imagerie par ultrasons vous seront généralement très utiles Pendant la grossesse, chaque échographie est attendue avec impatience et appréhension Car derrière l'émotion générée par l'image du fœtus, il y a d'abord un geste médical qui doit diagnostiquer la moindre anomalie inquiétante Certaines sont très connues comme les malformations cardiaques, d'autres beaucoup moins comme les kystes qui peuvent seLa plupart des kystes épidermoïdes cessent de croître ou disparaissent d'euxmêmes sans traitement Les médecins noteront habituellement la présence d'un kyste et le surveilleront à chaque examen pour s'assurer qu'il n'a pas changé Comme les kystes épidermoïdes sont très rarement cancéreux, ils ne présentent pas de risque




Comment Realiser Une Echographie Pelvienne De L Enfant Et De L Adolescente
.jpg)



Microcephalie Fœtale Decouverte A L Echographie Prise En Charge Antenatale Gyneco Online
CWMBRAN, SOUTH WALES, RoyaumeUni, le 13 Avril 15 (LifeSiteNewscom) Quand un kyste au cerveau a été détecté à l'échographie de routine, de 21 semaines du bébé, la mère Danielle Davis déclara «Nous étions inquiets à ce sujet» Les kystes de l'ovaire (kystes ovariens) passent généralement inaperçus et sont découverts de manière fortuite lors d'une échographie Dans la grande majorité des cas, ces petites grosseurs sont bénignes et disparaissent seules Toutefois, il arrive qu'une opération chirurgicale soit nécessaire L'échographie médullaire montre un filum terminal épais et échogène (> 2 mm de diamètre) , qui peut être parfois le siège d'un kyste ou d'un lipome Lorsqu'il est associé à un cône médullaire en place et des racines battantes, le filum épais est considéré comme une variante de la normale et ne nécessite aucune prise en




Kystes De L Ovaire Symptomes Et Taitement Du Kyste Ovarien Doctissimo



Kyste De L Ovaire Fœtal
Mon bébé a un kyste pilonidal Détails Pédiatre Quand mon fils est né, nous avons remarqué sur son dos une sorte de petit creux avec des poils que le pédiatre a appelé sinus pilonidal Le médecin a fait une échographie à mon bébé et nous a dit que le tube neural n'était pas endommagé J Les kystes ovariens organiques ne régressent pasIls sont en général enlevés afin d'éviter tout risque de complication (torsion de l'ovaire, hémorragie du kyste) Diagnostic du kyste de l'ovaire échographie et Doppler jouent la complémentarité L'échographie, qui permet de découvrir les kystes ovariens asymptomatiques, peut être réalisée par voie abdominale ou parKYSTE DE LA QUEUE DU SOURCIL Les kystes de la queue du sourcil se présentent comme une voussure (bosse) plus ou moins prononcée et située le plus souvent à l'extrémité externe d'un sourcil Ils peuvent être situés à la hauteur de la queue du sourcil mais parfois on les palpe un peu plus bas ou un peu plus haut



Link Springer Com Content Pdf 10 1007 2fs 016 0668 2 Pdf




Atlas D Echographie Transfontanellaire
Bonjour, Ma femme est enceinte de semaines et après une echographie faites jeudi dernier le medecin a decouvert 2 kystes d'eau dans la tete du bebe, un kyste de quelques mm a gauche et l'autre a droitele medecin alors lui a demander de faire leL'échographie de la lésion a été réalisée dans deux cas et avait montré des zones hypo et hyperechogénes sans extension durale Les suites opératoires ont été très simples L'examen anatomopathologique a diagnostiqué dans tous les cas un kyste dermoïde Conclusion Le kyste dermoïde extracrânien congénital est une tumeurAntérieur), le dosage des T3 et T4, l'échographie et la scintigraphie et confirmé par la cytoponction KYSTES CONGÉNITAUX 1) Le kyste du tractus thyréoglosse Le diagnostic est orienté par la clinique (masse médiane sus ou soushyoïdienne) et confirmé par l'échographie et




Inde Un Bebe Nait Avec Son Jumeau Dans L Estomac



Makp Maladie Adenomatoide Kystique Pulmonaire Malformation Rare Du Poumon Regard De Bebe Plume
Le kyste en luimême ne produit aucun symptôme Cependant, étant donné qu'il apparaît généralement sur le visage ou la tête, qui sont des zones où l'on retrouve de nombreux nerfs et structures de l'organisme, ceci implique certains risques Les complications du kyste dermoïde apparaissent quand, en grandissant, il affecte d'autres structures sensibles du corpsIl a fait une échographie du cerveau à la naissance (7 jours de vie), une IRM à 1 mois et vu la neuropédiatre à 3 mois qui a confirmé qu'il va très bien et se développe comme n'importe quel bébé Nous la reverrons quand il aura 1 an et si le kyste n'a pas grossi, on ne la Mots cles Epaule, traumatisme ~ Echographie 10 h 50 Duree 7 minutes ECHOGRAPHIE DES KYSTES EPIDERMOIDES SOUSCUTANES AVEC CORRELATION HISTOPATHOLOGIQUE J Malghem, 1 Theate, B Vande Berg, F Lecouvet R Vanwijk, D Tennstedt



Article Medicale Tunisie Article Medicale




Diagnostic Echographique En Urgence D Une Torsion De L Ovaire Chez L Enfant A Propos De Neuf Observations Sciencedirect
Elles ont conclu qu'il valait peutêtre mieux faire une échographie de surface, pour avoir une réponse plus juste Une semaine plus tard, j'étais à l'hôpital avec mon bébé Sur l'écran noir, on a bien vu la bulle, qui semblait vide Diagnostic un kyste Simplement Si le bébé est venu, par exemple, les œufs ténia Echinococcus granulosus, le parasite pénètre dans le parenchyme du foie et il commence à se transformer en larves, protégeant la capsule de chitine Et déjà autour de cette capsule il y a un soidisant kyste parasitaireMon bébé a un kyste pilonidal;




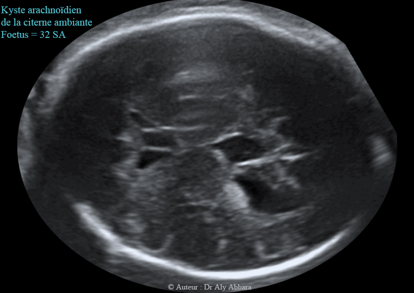
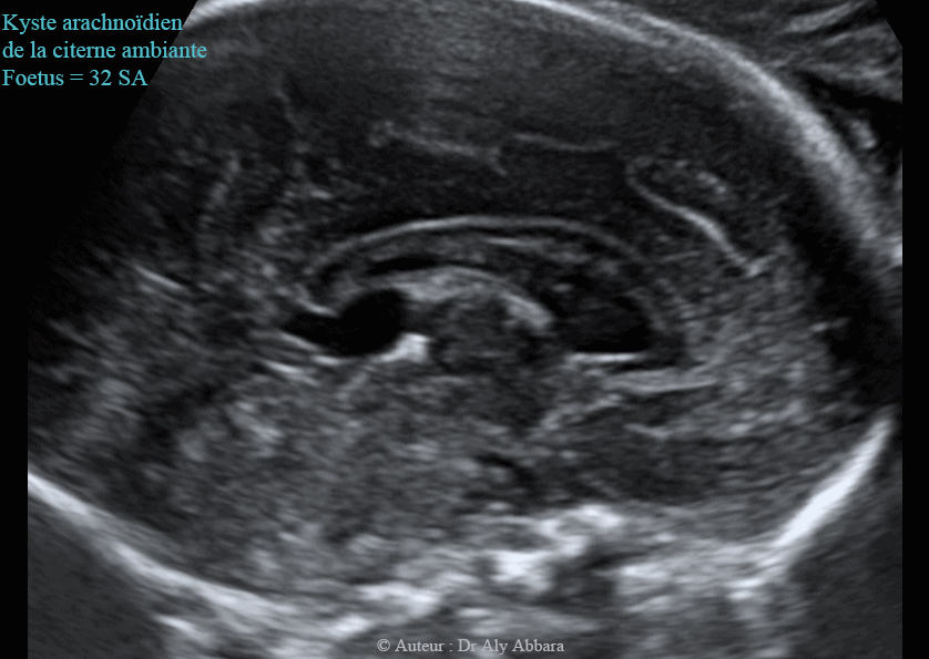
Echographie Kystes Arachnoidiens الكيسات العنكبوتية في الدماغ




Anomalies De L Appareil Genital Medicine Key
Journal de radiologie Vol N° 10 p Echographie des kystes epidermoides souscutanes avec correlation histopathologique EM consulteVision To drastically reduce diagnosis and treatment times by offering a full range of ultrasound imaging services for our patients using stateoftheart technology Treating our patients with respect and dignity is as important as a quick diagnosis We acknowledge that behind each case, there is a person who deserves special attention Kystes comment se passe l'échographie L'échographie est le meilleur des outils de diagnostic Examen sans danger, reproductible et




J Ai Une Grosseur Un Kyste Que Faire Planete Sante



1
Le traitement de ces kystes est l'exérèse chirurgicale Il peut s'agir également d'un lymphangiome kystique, masse souvent plus volumineuse, moins bien circonscrite, d'évolution parfois fluctuante L'échographie montre le caractère liquidien, polylobé, l'absence deL'échographie) de démontrer la dilatation des canaux de drainage principal ou intraglandulaires des glandes salivaires (= SialoIRM) 44 Mucocèles Les mucocèles correspondent à des rétentions mucoïdes survenant essentiellement dans les glandes mineures ou les glandes souslinguales Il s'agit le plus souvent de kystes de rétention Je vous conseille effectivement de faire vérifier l'échographie transfontanellaire en période postnatale Un suivi du développement est également utile, mais comme pour tout autre bébé Vu qu'on n'a pas trouvé d'explication pour ce kyste, une résorption est tout à fait possible Je n'ai pas trouvé de publication sur la




Kyste Du Cordon Spermatique Ppt Video Online Telecharger




Une Malformation Congenitale Rare Le Cordon Ombilical Geant Sage Femme Pratique
Des kystes du plexus vasculaire droit et des kystes du plexus vasculaire gauche peuvent se développer En règle générale, des kystes vasculaires se trouvent dans les deux plexus lors de l'échographie à 10 semaines de grossesse




Rate Kyste Splenique Chez Un Foetus De 31 Sa Echographie




Kyste Ovarien Chez Un Foetus Du Sexe Feminin




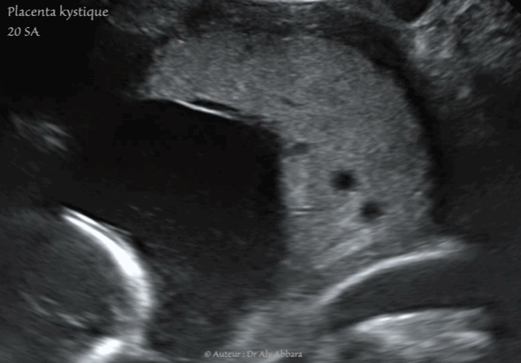
Placenta Kystique Kystes Placentaires Intra Parenchymateux Cytotrophoblastiques Sa




Une Mere De Quatre Enfants Petrifiee Subit Deux Operations Chirurgicales Innovantes Pour Sauver La Vie De Son Enfant A Naitre Epoch Times




Polykystose Renale Quand Des Kystes Detruisent Les Reins




Kyste De L Ovaire Foetal Bilateral Et Regressif In Utero



Echographie Du Rachis Foetal




Tout Savoir Sur Le Kyste Magicmaman Com




Kystes Et Fistules Congenitaux De L Enfant Sciencedirect




Quand On S Inquiete Pour La Sante De Futur Bebe La Presse




Ne Vous En Faites Pas Ca Arrive Souvent Choupie Chat Papa Chat La Vie Et Moi




Article Medicale Tunisie Article Medicale Echographie Du Premier Trimestre Clarte Nucale Hygroma Kystique Marqueurs Seriques







Echographie Et Anomalie Quel Suivi Pour Mon Bebe Mpedia Fr




Pdf Reponse Du E Quid De Novembre Diagnostic Echographique D Une Fistule Omphalomesenterique Chez Le Nourrisson




Kyste De L Ovaire Fœtal Bilateral Et Regressif In Utero




Microcephalie Symptomes Et Causes




Ce Bebe Est Ne Avec Le Fœtus De Sa Sœur Jumelle Grandissant Dans Son Abdomen



Kyste De L Ovaire




Campus Numerique De Neurochirurgie




Echographie Wikipedia



Thymus Cyst Fetus Chest Ultrasonography Thymic Echography Echogrraohie Thymus Kyste Thorax Foetus Echographie Prenatale Thoracique




Article Medicale Tunisie Article Medicale Megavessie Foetale Diagnostic Antenatal Echographie



Echo Anatomie De La Pathologie Genitale




La Premiere Echographie Entre Joie Et Angoisse Magicmaman Com




Quelle Attitude Lors De La Decouverte De Kystes Renaux




Comment Realiser Une Echographie Pelvienne De L Enfant Et De L Adolescente



Une Histoire De Petite Bosse Je Suis Une Maman




Quelle Attitude Lors De La Decouverte De Kystes Renaux




Insolite Elle Portait Le Fœtus De Son Jumeau Dans Son Ov Top Sante




Tumeurs De L Ovaire Et Grossesse Une Malignite Retrouvee Dans 1 A 9




Masses Abdominopelviennes Chez Lenfant Introduction Diagnostic Positif Plan




Type D Echographies Pratiquees




Un Bebe Ne Avec Deux Bouches Deux Langues Et Une Duplication De La Mandibule Realites Biomedicales




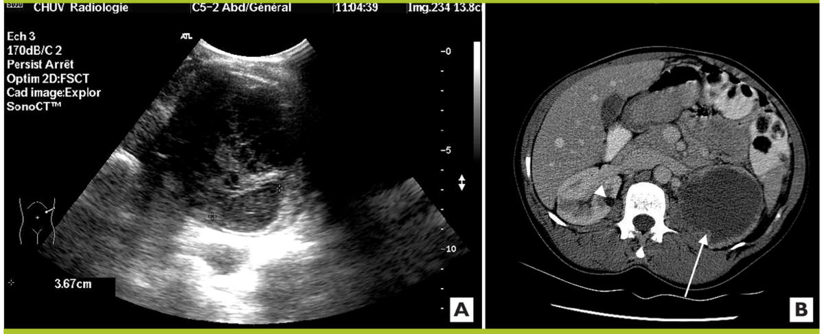
Kyste Hydatique Du Rein Diagnostic De Presomption Et Implications Therapeutiques Urofrance




Imagerie Des Masses Renales De Lenfant A Propos




Cerveau Foetal Kyste Bilateral Des Plexus Choroides 21 Sa



Thymus Cyst Fetus Chest Ultrasonography Thymic Echography Echogrraohie Thymus Kyste Thorax Foetus Echographie Prenatale Thoracique




Kyste Neufmois Fr



1



Une Histoire De Petite Bosse Je Suis Une Maman




Cerveau Foetal Kystes Bilateraux Des Plexus Choroide Trisomie 18 21 Sa



Kyste De L Ovaire Fœtal




Kyste Ovarien Et Grossesse Ce Qu Il Faut Savoir




Echographie Obstetricale Decouverte D Un Kyste Des Plexus Choroides Le Quotidien Du Medecin



Diagnostic De La Leucomalacie Periventriculaire Lpv Chez Les Bebes Prematures



Fœtus Kystes Au Cerveau Bebes Et Mamans




Echographie Kystes Arachnoidiens الكيسات العنكبوتية في الدماغ



Http Nglr Fr Uploads Pathologie kystique de labdomen foetal jmf Pdf



Article Medicale Tunisie Article Medicale




L Echographie De Ce Bebe Faisant Une Bulle Cache Une Terrible Realite



Megavessie



Les Kystes Digestifs Du Nourrisson




Les Caracteristiques Des Nouveau Nes Naissance Doctissimo




Kyste Du Cordon Ombilical Grossesse De 9 Sa



Http Nglr Fr Images Naitre Pdf Referentiels Chirurgie Pediatrique Kyste Ovaire Pdf




Un Nouveau Ne Avec Une Importante Grosseur Pleine De Kystes Sur Le Cou Peut Respirer Et Pleurer Malgre Le Pronostic Des Medecins Bebe Epoch Times




Masses Ovariennes Decouvertes A L Echographie Du 1er Trimestre Gynecologie Obstetrique Pratique



Http Nglr Fr Uploads Pathologie kystique de labdomen foetal jmf Pdf




Kyste Sous Ependymaire Chez Un Nouveau Ne Avec Competence Sur La Sante Sur Ilive



1




L Incroyable Combat De Ce Petit Garcon Atteint D Un Kyste Gros Comme Une Pasteque




Comment Realiser Une Echographie Pelvienne De L Enfant Et De L Adolescente




Une Boule Sous La Peau Pas A Pas En Pediatrie




Imagerie Des Masses Renales De Lenfant A Propos



1



Thymus Cyst Fetus Chest Ultrasonography Thymic Echography Echogrraohie Thymus Kyste Thorax Foetus Echographie Prenatale Thoracique




Type D Echographies Pratiquees




Echographie Grossesse Tout Savoir Sur Les Echographies Pendant La Grossesse




Taches Blanches Sur Le Cœur Quels Problemes Reconnait On A L Echographie Echographies Examens Aspects Medicaux Grossesse Swissmom Ch




M Panuel Ph Devred Echographie Abdominales En Urgence Chez L Enfant




Pdf Cas Clinique Teratome Cervical Congenital Cervical Teratoma In A Newborn




Type D Echographies Pratiquees



Mon Bebe A Un Kyste Pilonidal Bebes Et Mamans




Comment Realiser Une Echographie Pelvienne De L Enfant Et De L Adolescente




Gard Atteint D Un Kyste Au Cerveau Inoperable Ismail 7 Ans Combat Pour La Vie Midilibre Fr




Bebe Les Surprises De Votre Nouveau Ne Magicmaman Com




Recit De Maman Garder Bebe Ou Pas Agenesie Du Corps Calleux Allo Maman Dodo




Quand Bebe Tombe Dans Le Bon 10 Pour Cent Actualites La Tribune Sherbrooke




Hygroma Kystique Et Hyperclarte Nucale En Echographie 3d 4d Cystic Hygroma Colli Youtube



Thymus Cyst Fetus Chest Ultrasonography Thymic Echography Echogrraohie Thymus Kyste Thorax Foetus Echographie Prenatale Thoracique




Kystes Et Fistules Congenitaux De L Enfant Sciencedirect




Masses Abdominopelviennes Chez Lenfant Introduction Diagnostic Positif Plan




Des Photos D Ultrasons En Gynecologie 2
No comments:
Post a Comment